Í síðustu viku gerðist furðulegt atvik en maður var lagður inn á spítala með afar sáran brjóstverk. Hann var furðu lostinn að fá að vita að orsök verksins var sú að hann hafði gleypt lykilinn af húsinu sínu kvöldið áður, en hann hafði farið á fyllerí með vinunum.
Þann 7. júní síðastliðinn var kínverskur maður, Chang, frá Guandong í Kína að fagna helginni með vinum sínum eftir erfiða viku. Þegar hann kom heim um miðja nótt leitaði hann að lyklunum sínum en fann þá ekki. Hann dinglaði bjöllunni í íbúðarhúsinu og lét hleypa sér inn. Augljóst var að hann var afar drukkinn, en hann hugsaði ekki meira um lyklana og fór beint í rúmið.
Næsta morgun þegar runnið var af honum að mestu fann hann fyrir afar sárum verk fyrir brjósti. Hann fór á næsta sjúkrahús nálægt honum í Dongguan.
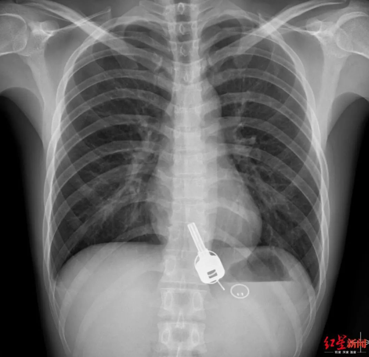
Þegar læknar settu hann í röntgen urðu þeir hissa því eitthvað sem líktist lykli var fast í vélinda hans. Þeir spurðu hann um hann og hann játaði að hafa týnt lyklunum sínum kvöldið áður en gat enga skýringu gefið á því af hverju þeir væru þarna niður komnir.

Málið var snúið, því ef Chang hefði verið látinn melta lykilinn á sama hátt og fæðu hefði það getað rifið einhver innyfli á hol. Að toga hann upp gat líka rifið gat á vélindað. Þriðji kosturinn, og sá sem kom helst til greina var skurðaðgerð.
Eftir margar tilraunir starfsfólk sem einnig glímdi við manneklu á spítalanum vegna frídags, var Chang gefin kæruleysissprauta þannig að það slaknaði á vöðvunum. Þannig var hægt að toga lykilinn út ásamt plastlykli (korti) upp úr vélindanu.
Hvernig Chang tókst þó að gleypa lyklana er enn ráðgáta þar sem hann man næstum ekkert eftir þetta örlagaríka kvöld.








